
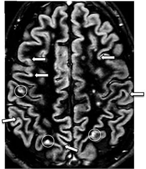
Multiple Sklerose (MS)
Leestijd: 6 minutenIn Deutschland sind mehr als 280.000 Menschen an Multipler Sklerose (MS) erkrankt, einer chronischen Erkrankung des zentralen Nervensystems (Gehirn und Rückenmark). Bei MS entwickelt sich im Nervensystem an mehreren Stellen eine Entzündung, die dazu führt, dass die Signale des Gehirns nicht mehr richtig über die Nerven weitergeleitet werden können. Infolgedessen können bestimmte Funktionen nicht oder nicht mehr richtig ausgeführt werden.
In der Regel ist uns nicht bewusst, dass alles, was wir tun und was in unserem Körper geschieht, ob wir sehen, uns bewegen oder sprechen, von unserem Gehirn und Rückenmark, dem zentralen Nervensystem, gesteuert wird. Dieses System besteht aus Millionen von Nervenzellen, die alle durch Nervenstränge miteinander verbunden sind. Man kann diese Nervenstränge mit einem gigantischen Netz aus sehr dünnen Kabeln (Fasern) vergleichen. Und genau wie bei normalen Kabeln, beispielsweise bei einem Ladekabel für Ihr Telefon, gibt es eine isolierende Schutzschicht um die einzelnen Enden. Diese Schicht wird Myelin genannt.
Myelin ist eigentlich eine etwas ölige Substanz in weißer Farbe. Seine Aufgabe ist es, dafür zu sorgen, dass die Nervenimpulse blitzschnell von einer Nervenzelle zur anderen übertragen werden; in einer normalen Situation geschieht dies mit einer Geschwindigkeit von etwa 120 Metern pro Sekunde. Sie sorgt auch dafür, dass ein elektrisches Signal nicht versehentlich zu einer Nervenzelle mit einer anderen Funktion "überspringt", was einen Kurzschluss verursachen könnte.

Bei Multipler Sklerose wird diese Myelinschicht angegriffen. Dies geschieht, weil das eigene Immunsystem die Nervenzellen angreift. MS wird daher auch als Autoimmunerkrankung bezeichnet. Es bilden sich Lücken in der Myelinschicht, was als Demyelinisierung bezeichnet wird. Dadurch wird die Übertragung von Signalen erschwert und schließlich manchmal sogar unmöglich. Der Körper füllt die entstandenen Löcher mit Bindegewebe auf (er kann kein neues Myelin mehr bilden), wodurch Narbengewebe entsteht, das nicht mehr isoliert. Dieses Narbengewebe ist hart, daher auch der Name der Krankheit: Multiple Sklerose bedeutet wörtlich übersetzt "mehrfache Verhärtung".
Varianten der MS
Wenn wir über Multiple Sklerose als Krankheit sprechen, scheint es so, als gäbe es nur eine Form davon, aber das ist nicht richtig; es lassen sich vier verschiedene Varianten unterscheiden:
- Schubförmig-remittierende MS (RRMS)
- Sekundär progrediente MS (SPMS)
- Benigne MS
- Primär progrediente MS (PPMS)
Manchmal gehen diese Formen ineinander über, was vor allem bei der ersten (RRMS) und zweiten (SPMS) Variante vorkommt. Daher kann nicht immer eine eindeutige Unterscheidung getroffen werden. Dennoch können wir die verschiedenen Varianten erklären.
Schubförmig remittierende MS (RRMS)

Diese Form der MS, bei der von Zeit zu Zeit aktive Entzündungsreaktionen, so genannte Schübe (sprich: sjoeps), auftreten, ist die häufigste Form der MS. 85 Prozent aller MS-Patienten in den Niederlanden haben diese Form. Abhängig davon, wo im zentralen Nervensystem die Entzündung auftritt, sind die Symptome unterschiedlich. Bei RRMS wechseln sich Phasen mit Schüben (remittierend) mit Phasen der Erholung (remittierend) ab. Manchmal tritt ein Schub ohne erkennbare Ursache auf, manchmal geht ihm aber auch eine Infektion oder eine stressige Zeit voraus. Als Behandlung werden in der Regel Medikamente mit Steroiden verschrieben, die einen Schub verkürzen können. Die Medikamente heilen die MS nicht.
Sekundär progrediente MS (SPMS)
Bei einer beträchtlichen Anzahl von Menschen mit RRMS (etwa 30 Prozent) geht diese Form nach etwa 10 Jahren in eine sekundär progrediente MS über. Die Schübe hören dann (oft) ganz auf, aber die Körperfunktionen verschlechtern sich langsam weiter. Dies scheint ein unaufhaltsamer Prozess zu sein, da es keine Erholungsphasen mehr gibt.
Benigne MS
Die benigne MS wird auch als eine milde Form der MS bezeichnet. Die Zeit zwischen den Schüben ist lang, manchmal bis zu 10 Jahre, und manche Menschen bekommen nur einen einzigen Schub in ihrem ganzen Leben. Normalerweise bleiben die Nervenzellen unbeschädigt. Diese Form der MS tritt am häufigsten bei jungen Frauen (unter 40) auf.
Primär progrediente MS (PPMS)
PPMS ist die am wenigsten verbreitete Form der MS; nur fünf Prozent aller MS-Patienten haben diese Variante. Da das Rückenmark direkt betroffen ist, macht sich die Verschlechterung unmittelbar nach dem Ausbruch der Krankheit bemerkbar. Die Symptome beginnen mit einer Versteifung der Beine, bei der es zu einem Kraftverlust kommt. Diese MS-Variante entwickelt sich meist zwischen dem 30. und 40. Lebensjahr.
Behandlung von MS
MS ist leider eine chronische Erkrankung, für die es keine Heilung gibt. Es gibt inzwischen einige Medikamente, die den Krankheitsverlauf etwas hemmen und die Wahrscheinlichkeit eines neuen Anfalls verringern können, indem sie das Immunsystem unterdrücken. Andere Medikamente zielen auf die Symptomkontrolle ab. Einige der Medikamente können in Tablettenform verabreicht werden. Andere werden in Form von Injektionen oder einer Infusion verabreicht, für die man ins Krankenhaus kommen muss.
Wenn Sie Fragen zu den bei Multipler Sklerose verwendeten Medikamenten haben, wenden Sie sich an Ihren Apotheker. Er wird Ihnen gerne mehr darüber erzählen.