
Vitamin D kann einen günstigen Einfluss auf einen schweren Verlauf einer COVID-19-Infektion haben
Leestijd: 5 minutenSeit über einem Jahr ist die Welt im Bann des Coronavirus COVID-19, der nun unseren Alltag vollständig beherrscht. Wir bleiben so viel wie möglich zu Hause, Reisen und Flüge zwischen den Ländern sind stark eingeschränkt oder sogar verboten und die meisten Geschäfte sind geschlossen. Überall auf der Welt wird fieberhaft daran gearbeitet, das Virus auszurotten. Es wurden Impfprogramme gestartet und die Hoffnung ist, dass die Pandemie langsam abklingt.
Neben der Bekämpfung des Virus wird auch erforscht, wie unterschiedlich die Krankheit bei den Menschen verläuft. Warum wird der eine Mensch schwer krank und stirbt manchmal sogar daran und warum hat ein anderer Mensch nur leichte Symptome und kann eigentlich normal funktionieren? Von Beginn der Pandemie an war klar, dass COVID-19 ältere Menschen stärker trifft als jüngere. In manchen Fällen haben ältere Menschen bereits andere Grundleiden, die das Immunsystem daran hindern, angemessen auf einen solch virulenten Eindringling zu reagieren, aber das ist nicht immer der Fall. Es gibt auch gesunde ältere Menschen, die schwer von dem Virus betroffen sind. Auffällig ist, dass die Vitamin-D-Spiegel vieler dieser älteren Menschen niedriger sind als gewünscht.
Was ist Vitamin D?

Vitamin D ist eines der wenigen Vitamine, die unser Körper selbst produziert. Dazu benötigen wir Sonnenlicht (UVB-Strahlen). Dieses Sonnenlicht wird über die Haut in Vitamin D umgewandelt und über das Blut zu Leber und Niere transportiert. Hier wird es wieder in eine aktive Form umgewandelt, die die Kalziumaufnahme (notwendig für starke Knochen und Zähne) aus dem Darm stimuliert. Eine gute Menge an Vitamin D im Blut unterstützt auch die Funktion der Muskeln und trägt zu einem guten Immunsystem bei, das zur Bekämpfung von Infektionen notwendig ist. Wir stellen Vitamin D also mit Hilfe von Sonnenlicht selbst her, bekommen es aber auch über die Nahrung. Es ist von Natur aus in fettem Fisch, Fleisch, Avocado und Eiern enthalten und wird fettarmer Margarine sowie Back- und Bratprodukten zugesetzt (nicht dem Öl).
Bei vielen älteren Menschen ist der Vitamin-D-Spiegel zu niedrig. Nach Angaben des niederländischen College of General Practitioners haben 50 % der älteren Menschen, die zu Hause leben, ein niedriges Niveau und bei Bewohnern von Pflegeeinrichtungen sind es sogar fast 90 %. Das liegt vor allem daran, dass sich ältere Menschen viel weniger im Freien aufhalten und eine alternde Haut auch schwerer in UVB-Strahlen umzuwandeln ist.
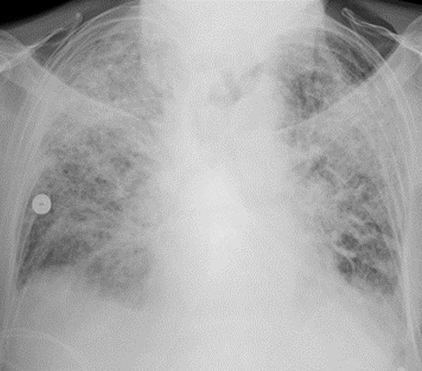
Schocklunge oder ARDS

Es hat sich gezeigt, dass wenn Patienten mit COVID-19 ernsthaft erkranken, dies meist in der zweiten Woche der Infektion geschieht. Das Fieber steigt progressiv an und oft kommt es zu einer schweren Entzündungsreaktion in der Lunge, die als hyperinflammatorische Schocklunge oder ARDS - acute respiratory distress syndrome - bezeichnet wird. In diesem Fall werden die Alveolen, in denen der Gasaustausch stattfindet, undicht und die Atmung wird ernsthaft beeinträchtigt. Die Atmung ist oft notwendig und die Organe können aufgrund von Sauerstoffmangel versagen.
Der Zytokin- Sturm
Diese schwere Entzündungsreaktion in der Lunge wird durch einen Zytokin-Sturm verursacht. Zytokin ist ein Eiweißmolekül, das Entzündungsreaktionen im Körper reguliert. Es gibt sowohl entzündungshemmende als auch pro-inflammatorische Zytokine, die sich gegenseitig im Gleichgewicht halten. Wenn dieses Gleichgewicht jedoch gestört ist, können die pro-inflammatorischen Zytokine "aus dem Ruder laufen" und zu einer übermäßigen Produktion führen; der Zytokinsturm. Die Forschung hat nun gezeigt, dass eine gute Menge an Vitamin D im Blut das Immunsystem anregt, die Zytokine im Gleichgewicht zu halten. Bei zu niedrigen Werten ist er nicht in der Lage, dies richtig zu tun.
Es ist daher wichtig, den Vitamin-D-Spiegel hoch zu halten. Dies kann man erreichen, indem man sich ausreichend bewegt, täglich zwischen 11 und 15 Uhr mit unbedecktem Kopf und Händen ins Freie geht, ausreichend Vitamin D zu sich nimmt und zusätzliche Vitamin-D-Präparate einnimmt. Die Empfehlung lautet, zwischen 400 - 800 Einheiten (10 - 20 Mikrogramm) pro Tag einzunehmen. Dies ist der Spiegel, der in den meisten von uns auf der guten Ebene gehalten wird. Von Vitamin D bekommt man nicht schnell zu viel rein, denn was wir in unserem Körper nicht verbrauchen, speichern wir in unseren Fettreserven.