
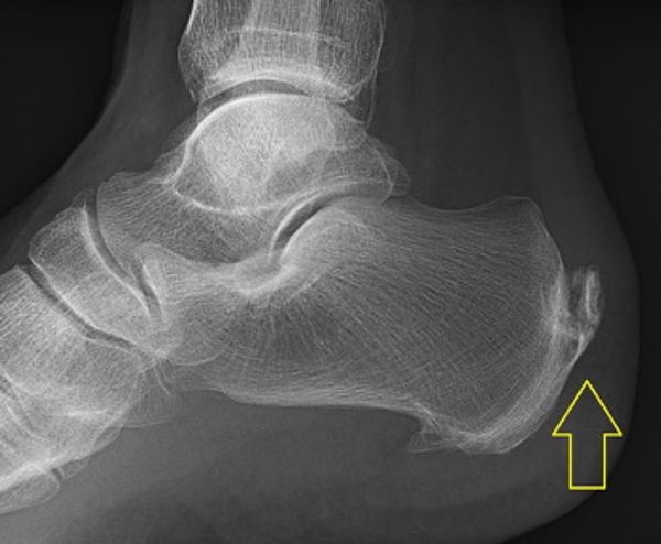
Fersensporn
Leestijd: 5 minutenEs handelt sich um ein schmerzhaftes Leiden, an dem relativ viele Menschen zwischen 40 und 60 Jahren leiden. Fersensporn, dass sind Schmerzen unter dem Fersenbein beim Stehen und Gehen. Der Schmerz ist vergleichbar mit dem Schmerz, den man empfindet, wenn man einen Kieselstein im Schuh hat. Eigentlich ist die Bezeichnung Fersensporn nicht ganz richtig. Ein Fersensporn ist ein zusätzliches Knochenstück oder eine Verkalkung in der Nähe des Ansatzes der Fersensehne am Fersenbein (dem Calcaneum). Untersuchungen zeigen, dass 75 % aller Erwachsenen dieses zusätzliche Knochenstück, auch Fersenbein genannt, haben und dass dies nicht immer zu Beschwerden führt. Die Schmerzen werden wahrscheinlich durch den anhaltenden Druck dieses Knochens auf die Sehne in der Ferse verursacht, die sich dann entzünden kann. Wenn Sie Schmerzen an der Seite der Ferse verspüren, haben die Beschwerden nichts mit einem Fersensporn zu tun. Dann handelt es sich um andere Fußbeschwerden.

Foto: Lucien Monfils
Bei Menschen mit Fersensporn treten die meisten Schmerzen unmittelbar nach dem Aufstehen auf. Das liegt daran, dass der Ansatz der Fersensehnenplatte, einer Sehne, die unter dem Fuß von den Zehen bis zur Ferse verläuft, nach einer Nacht ohne Bewegung steif geworden ist. Eine kurze Massage dieser Sehne lindert oft die schlimmsten Schmerzen, aber der Schmerz verschwindet nicht vollständig und bleibt "quälend". Im Laufe des Tages nehmen die Schmerzen auch wieder zu. Längeres Stehen und Gehen verschlimmern die Symptome schnell.
Fersensporn, eine Überlastungsverletzung
Der Fersensporn fällt in die Kategorie der Überlastungsschäden. Als Ursachen werden das Gehen auf harten Böden, das Tragen von Schuhen schlechter Qualität oder anstrengende Bewegung genannt. Es ist bemerkenswert, dass der Fersensporn vor etwa zwanzig Jahren viel seltener vorkam als heute. Es besteht der Verdacht, dass immer bequemere Schuhe in Kombination mit hängenden oder spreizenden Füßen die Ursache für das zunehmende Auftreten der Beschwerden sind. Es ist wahrscheinlich, dass Füße in bequemen Schuhen sehr wenig tun müssen. Infolgedessen ist der Blutfluss zu gering.
Auch die Zunahme von Sportarten wie Laufen und Tennis und die Verwendung von Sportschuhen und Schuhen mit relativ weichen Sohlen kann als Ursache für das häufigere Auftreten von Fersensporn genannt werden. Frauen, die häufig auf hohen Absätzen laufen und im Sommer plötzlich Hausschuhe tragen, sind ebenfalls anfälliger für die Entwicklung von Fersensporn. Das liegt daran, dass der Wadenmuskel durch das Gehen in Schuhen mit Absatz verkürzt wird und plötzlich unter Dauerbelastung steht. Manche Menschen bekommen Fersensporn aufgrund des so genannten Fettpolstersyndroms. Dies wird durch ein abgenutztes Fettpolster unter der Ferse verursacht.
Wie behandelt man einen Fersensporn?
Die Behandlung des Fersensporns ist zum Glück nicht kompliziert, aber oft eine Frage des langen Atems. Es kann drei bis neun Monate dauern, bis die Beschwerden verschwunden sind. Zunächst können die Schmerzsymptome durch eine gute Schmerzkontrolle reduziert werden. Paracetamol reicht in der Regel aus, aber manchmal hilft ein NSAID-Schmerzmittel, ein Entzündungshemmer, wie Ibuprofen oder Naproxen besser.

Das Ausruhen mit Fersensporn ist kontraproduktiv. Durch das Ruhen wird der Ansatz der Sehnenplatte nur weniger flexibel. Daher ist es wichtig, sich ständig zu bewegen, denn es ist wichtig, die Sehnenscheibe so flexibel wie möglich zu halten. Je flexibler die Sehne ist, desto weniger Beschwerden verursacht sie. Es gibt Übungen, die Sie selbst durchführen können, um die Sehne flexibel zu halten.
Sie können zum Beispiel einen Tennisball unter der Ferse hin und her rollen: Auf diese Weise massiert der Ball die Sehne an ihrem Ansatz, was die Durchblutung fördert. Sie können auch Druck auf die Sehne ausüben, indem Sie sich an eine Wand lehnen, die Knie leicht beugen und den Fuß mit dem Fersensporn nach hinten stellen und ihn flach auf den Boden drücken. Ein Strandspaziergang mit nackten Füßen ist die wirksamste Methode zur Bekämpfung der Symptome. Dies gewährleistet eine optimale Blutzirkulation im Fuß. Wenn diese Übungen nicht helfen, die Symptome zu lindern, ist ein Besuch beim Physiotherapeuten ratsam.
Um einem Fersensporn vorzubeugen, ist es ratsam, stets gute Schuhe zu tragen, die eine ausreichende Dämpfung bieten. Halten Sie die Füße so fit und flexibel wie möglich und achten Sie darauf, dass die Füße nicht durch ein Pfund zu viel belastet werden.